MENU
06-6352-1187
WEB予約
WEB予約
採用サイト
採用サイト

ORTHODONTICS 成人矯正

MOVIE マウスピース矯正
(インビザライン)のご紹介動画

歯列の美しさはお口の
健康と自信につながる THE BEAUTY OF THE DENTITION

歯列矯正は歯並びを整え、見た目を美しくするだけではありません。歯並びが整うことで歯磨きがしやすくなるため、虫歯や歯周病のリスクが低くなります。また、咬み合わせが良くなることで咀嚼機能が向上し、歯並びが原因となって起こるあごの関節の不調や発音などの改善ができる可能性があります。

南森町 増田歯科・矯正歯科では日本顎咬合学会 咬み合せ認定医の資格と豊富な経験を持つ歯科医師が、患者様のご要望に合わせた矯正方法をご提案しております。また、矯正をする前の段階から治療後のメンテナンスまで一貫して患者様のお口の中を管理できるので安心です。

矯正を行うことで口元のコンプレックスが解消され、思いっきり口を開けて笑ったり、会話を楽しんだりすることができ、自信を持って人と接することができるようになります。

こんなお悩みありませんか? CHECK

  • 歯並びが悪い
  • 前歯だけ整えたい
  • 口元を気にせず笑いたい
  • 大人でも矯正できるのか知りたい
  • 矯正に興味はあるが目立つのが嫌

歯並びをきれいにすることの
メリット

  1. 歯のコンプレックス解消につながる
  2. 人前に出たときに気にならなくなる
  3. 堂々と笑ったり、
    食事をしたりできるようになる
  4. 第一印象が良くなる
  5. お顔全体が
    より整って見えるようになる

矯正で得られる機能的な
メリット

  1. 噛み合わせが改善する
  2. 歯磨きがしやすくなる
  3. 食べかすが挟まりにくくなる
  4. 顎関節への負担が減る
  5. 歯にかかる力が分散され、
    歯の寿命が保ちやすい

歯並びが良いと
歯が長持ちしやすい

歯並びを整えると、虫歯・歯周病リスクが低くなるため、歯を長きにわたり保ちやすくなります。虫歯・歯周病リスクが下がる理由としては、「汚れが溜まりにくくなる」、「歯磨きがしやすくなる」、「一部の歯にだけ力がかかる状態を改善できる」などがあります。

見た目だけでなく機能的な改善も見込め、歯の寿命を長く保つことにもつながるのが矯正治療のメリットです。

EQUIPMENT 口腔内スキャナー、iTeroを導入

矯正治療を行うには、噛み合わせの型を採るために全顎的な印象採得が必要です。従来は、大きな印象材をお口の中に入れ、しばらく放置する方法で型を採っていました。しかし、このやり方だと人によっては嘔吐反射が起きることもあり、不快感が大きいというデメリットがありました。

当院では口腔スキャナー、iTeroを導入しておりますので、歯の型採りは必要ありません。お口の中を機械でスキャンするだけで、デジタルデータとしてパソコンに取り込むことができます。ソフトを使った歯並びのシミュレーションにも対応しておりますので、ご自分の歯をどのように動かしていくのか把握することも可能です。

1分でできる、
無料歯並びシミュレーション

ご自分の歯並びが整うと、どんな見た目になるのか気になる方はいらっしゃいませんか?そのような方におすすめなのが、インビザライン提供の無料歯並びシミュレーションです。

ご自分のスマートホンから下のリンクにアクセスして、お顔の画像を撮影するだけで治療後の予想画像を見ることができます。矯正治療を受けるかどうか決める際の資料として参考にご覧ください。 シミュレーションページはこちら

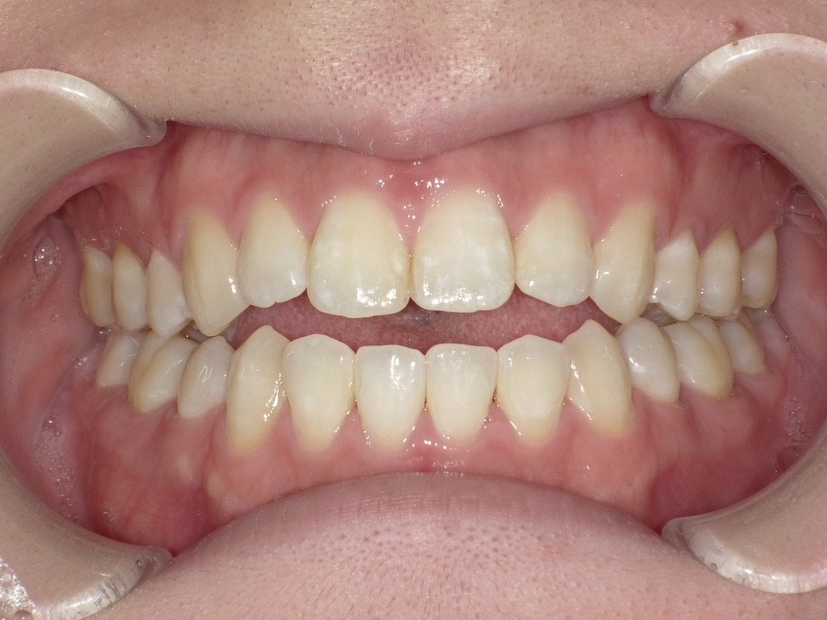
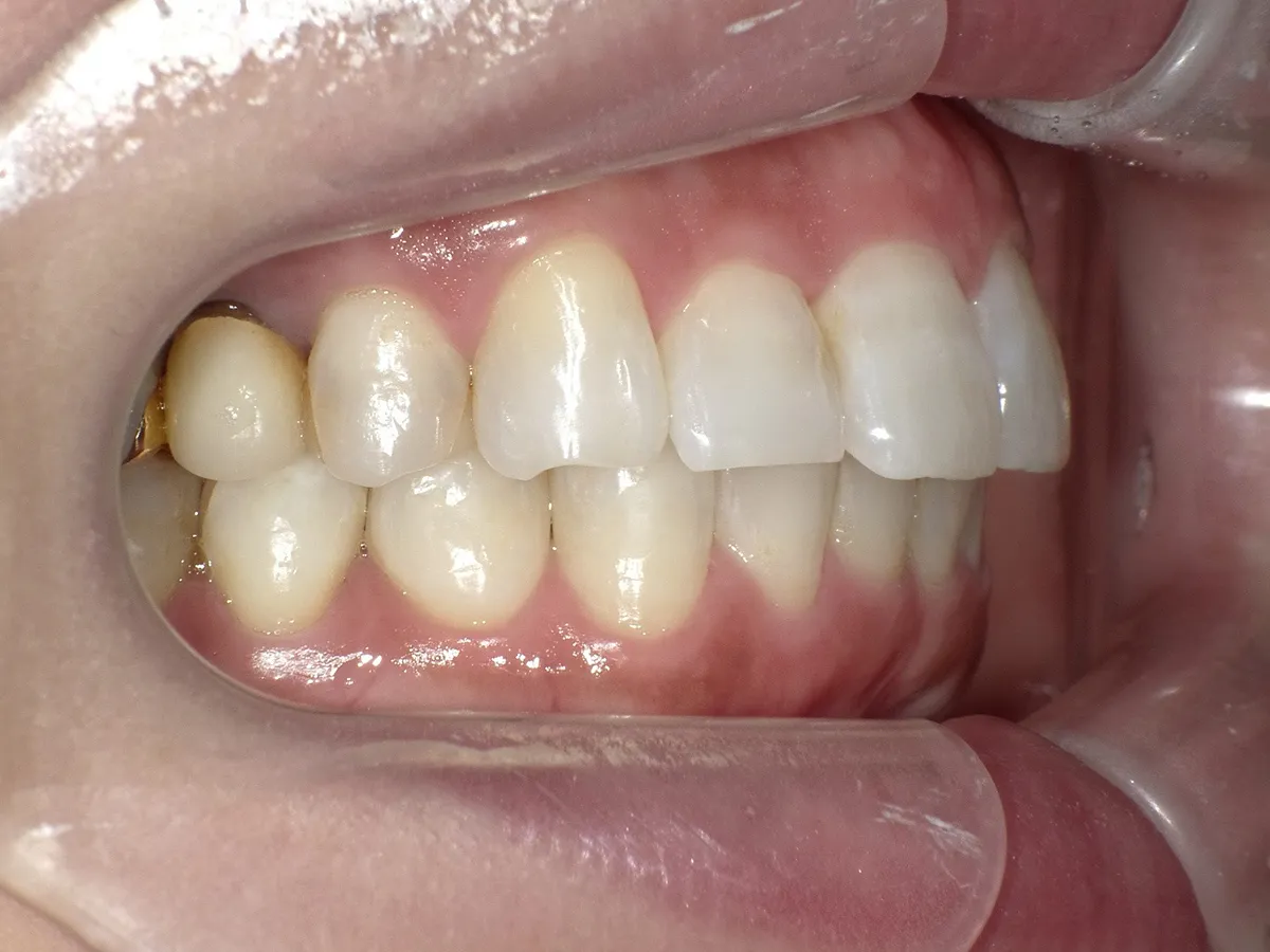
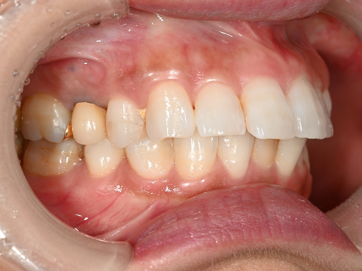
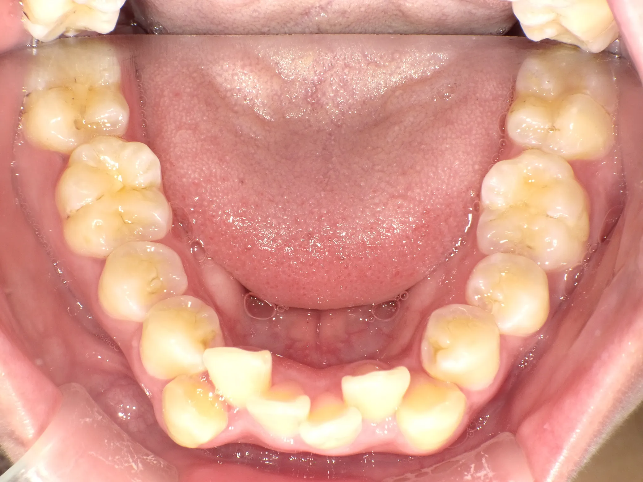
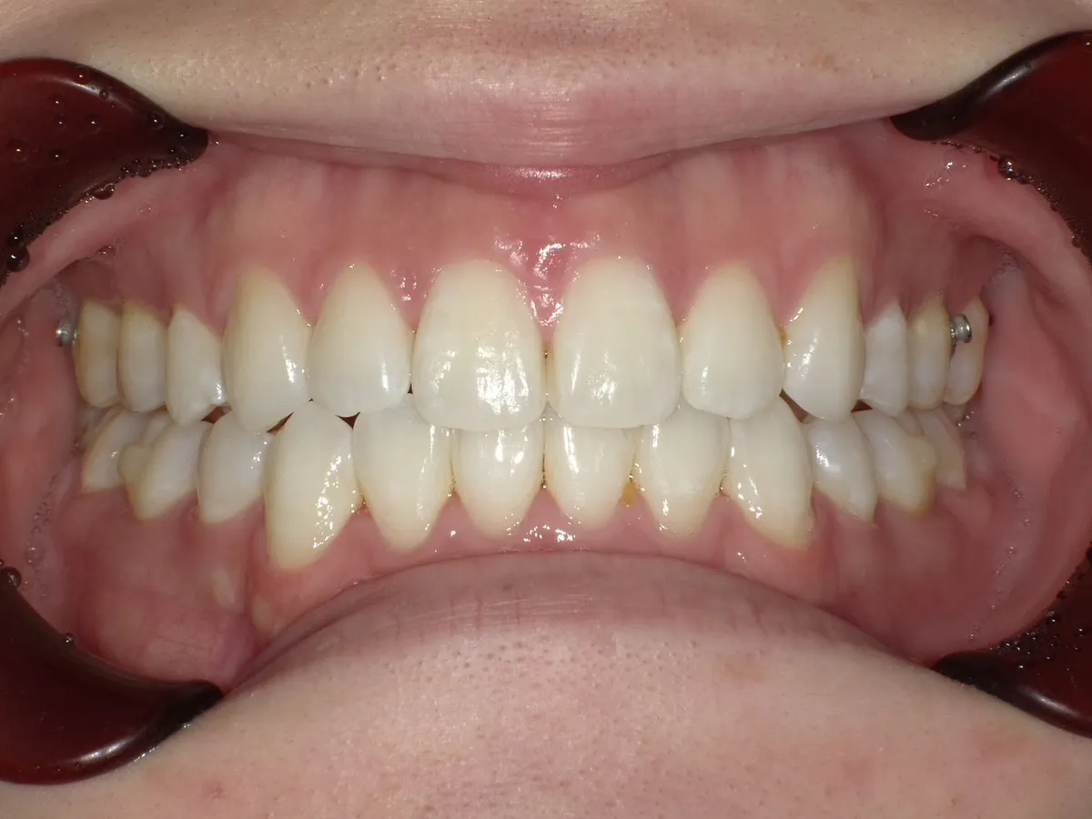
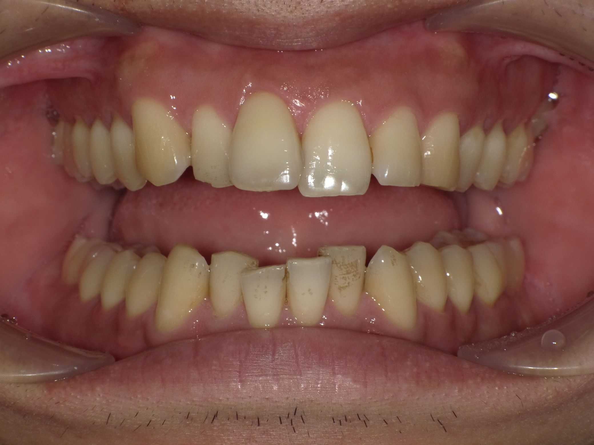
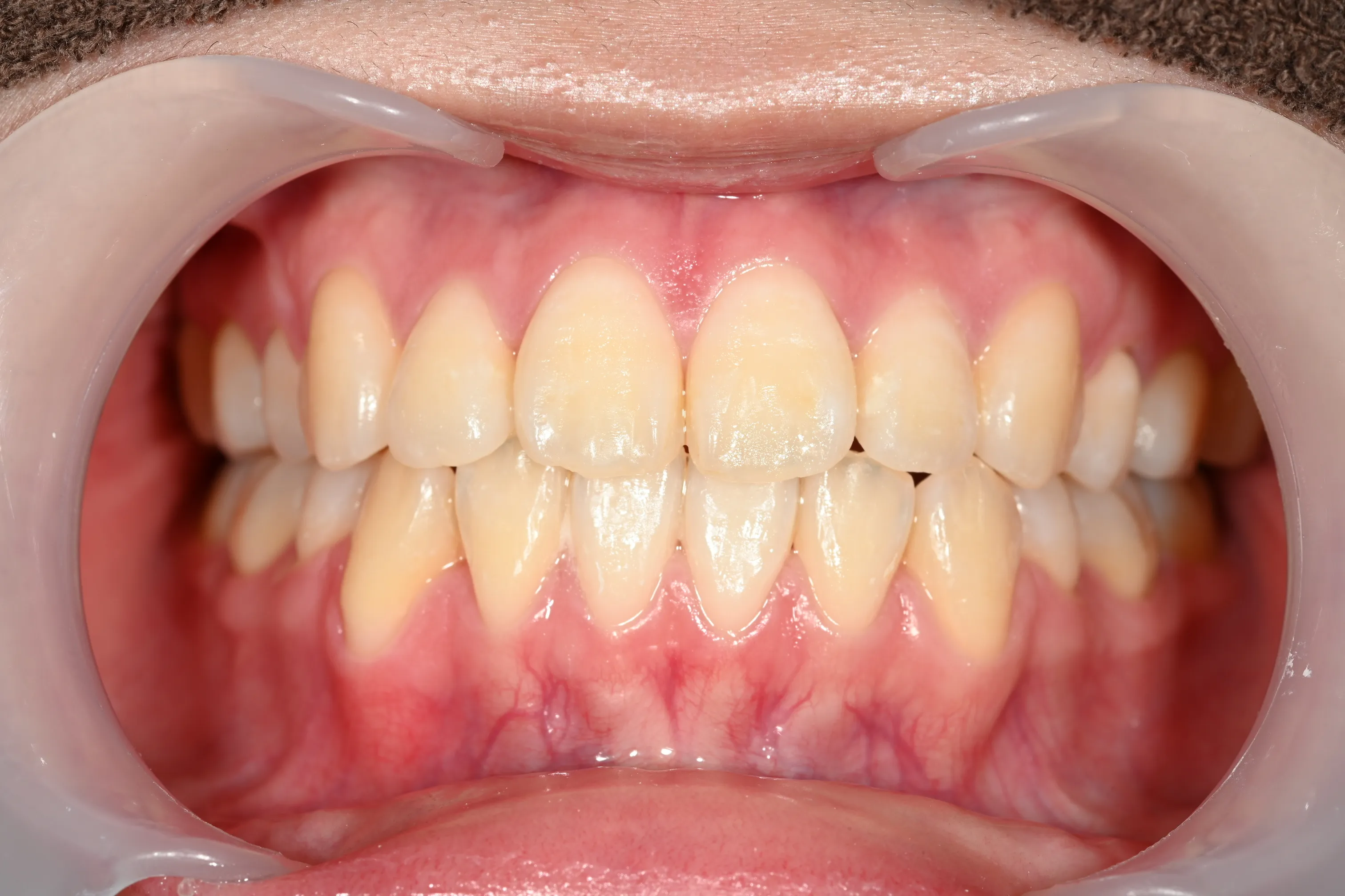
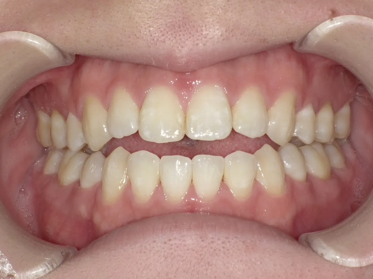
CASE 症例集

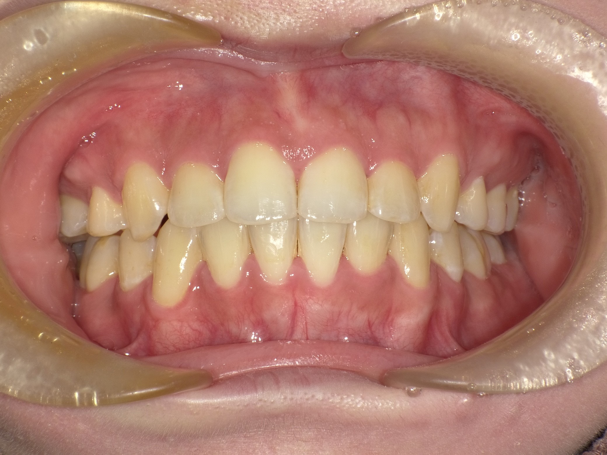
症例①

症例1_治療前 症例1_治療後
年齢(年代) 26才(当時)
治療方法 ホワイトブラケット
治療期間 3年
治療総額 825,000円
特記事項 抜歯あり

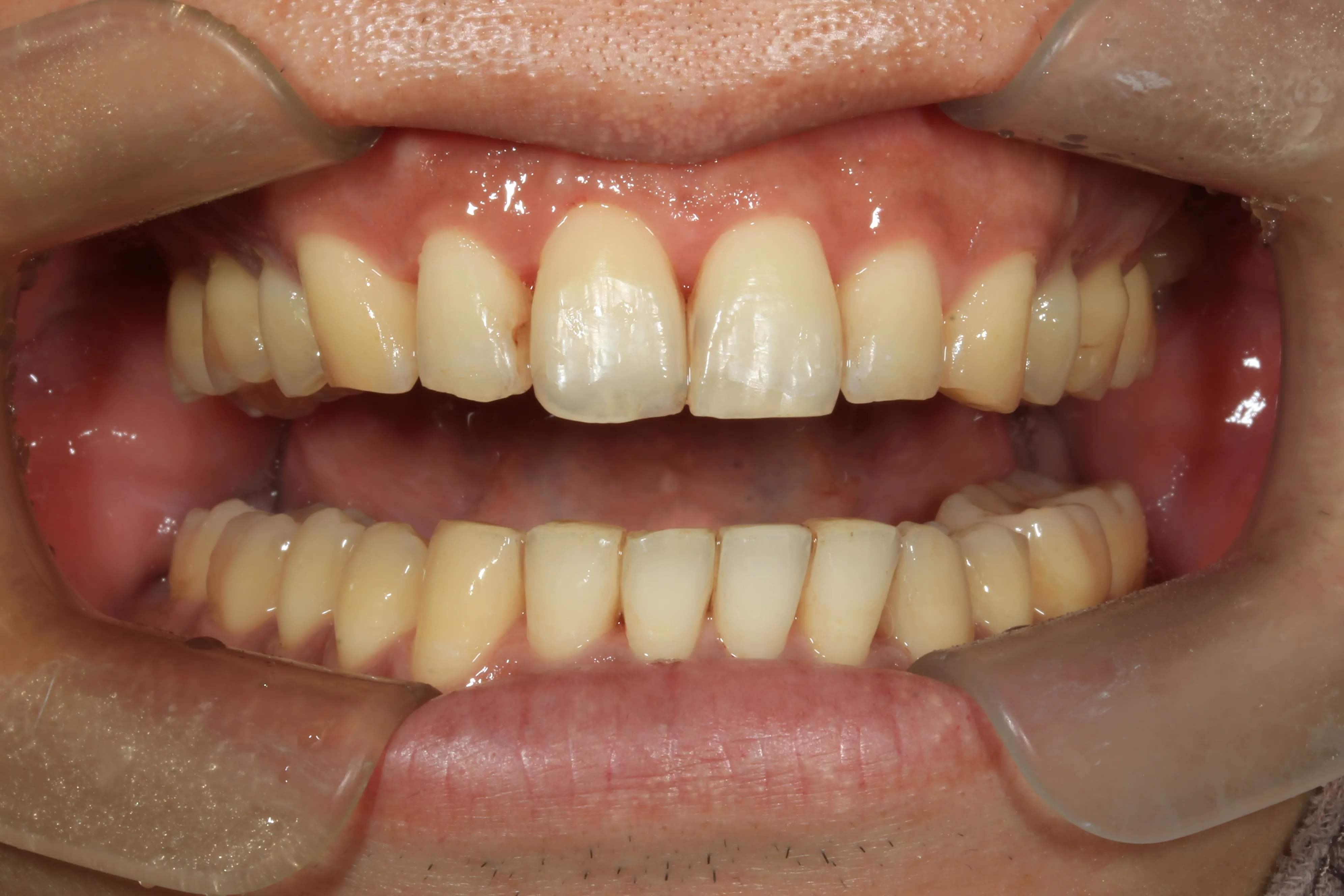
症例②

症例2_治療前 症例2_治療後
年齢・性別 31才・男性
治療方法 ブラケット矯正
治療期間 3年
治療総額 850,000円
特記事項 抜歯あり(4本抜歯)

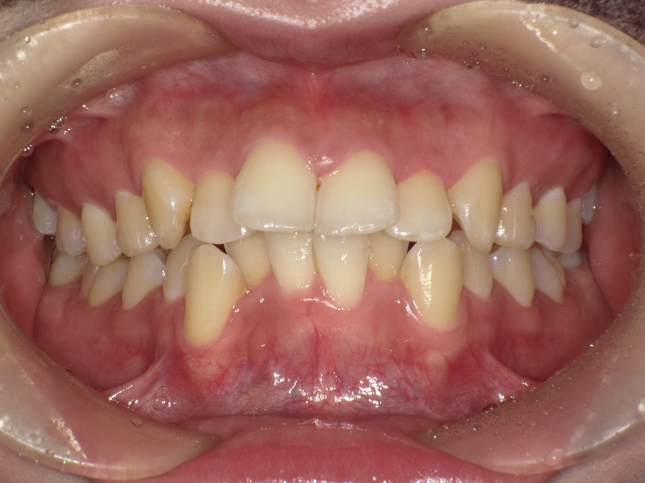
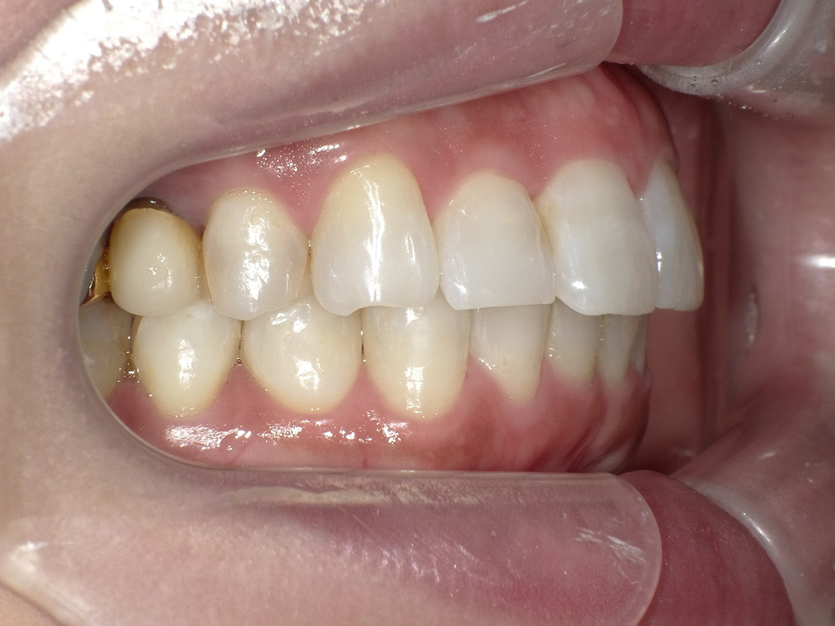
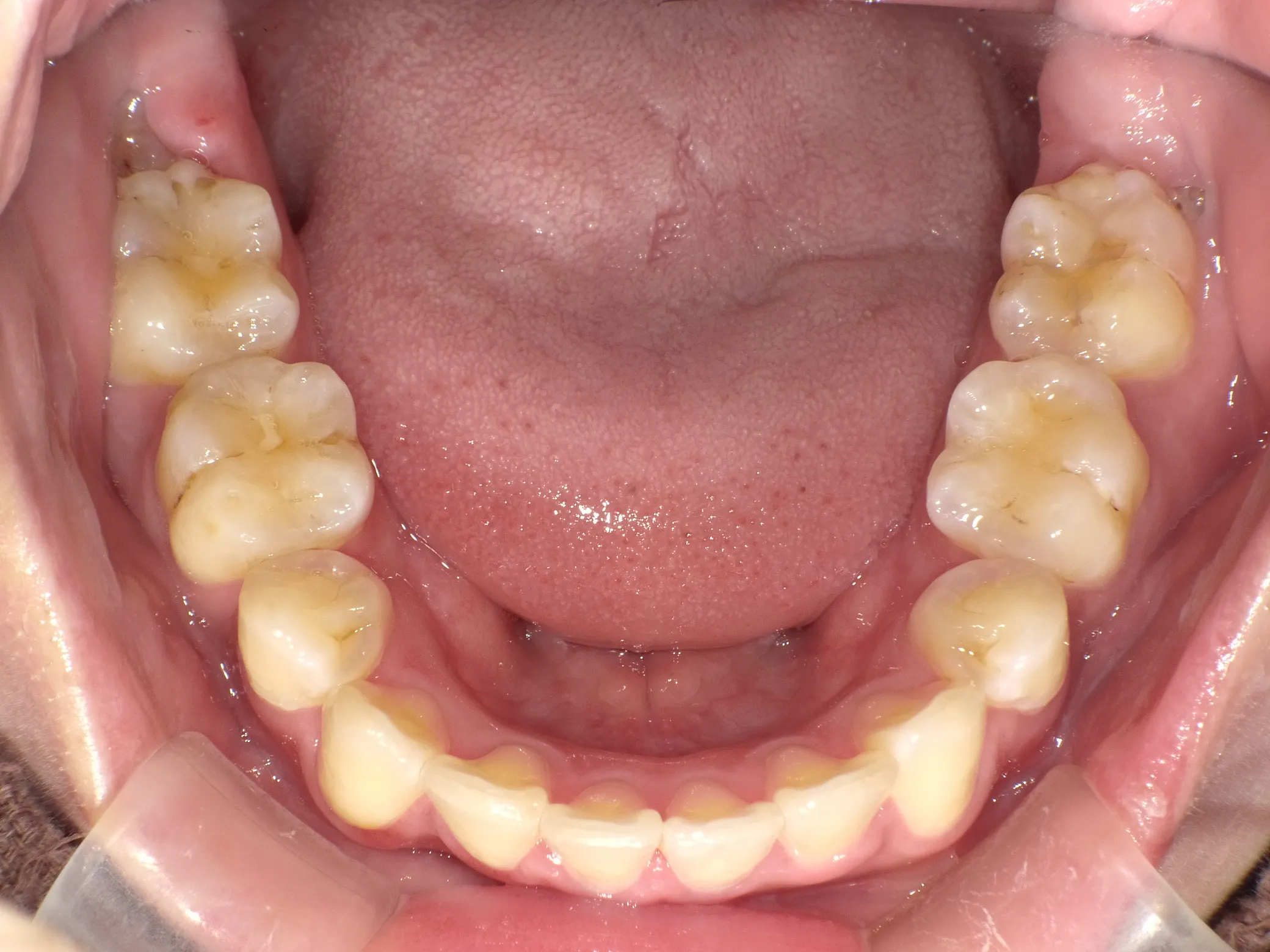
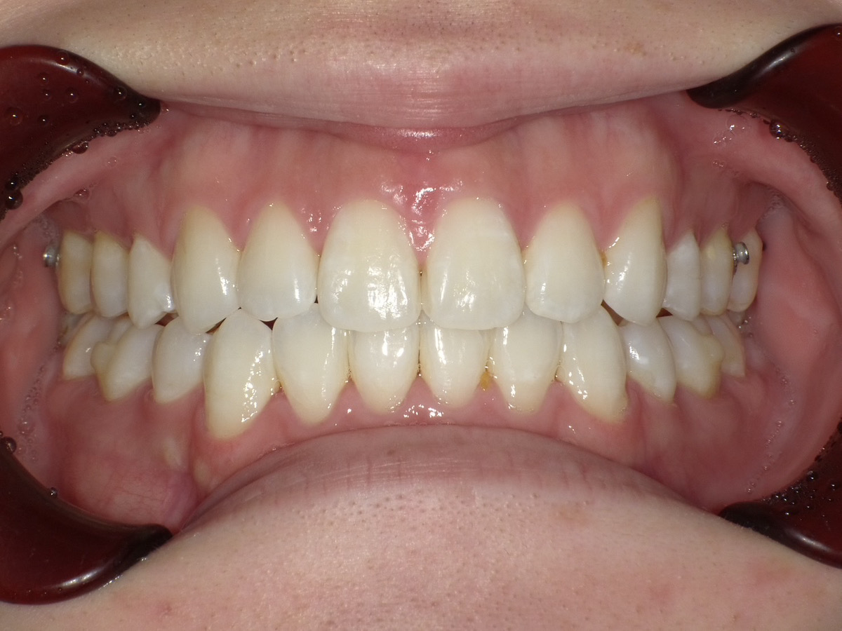
症例③

症例3_治療前 症例3_治療後
治療方法 マウスピース矯正
治療期間 1年8ヶ月
治療総額 850,000円
特記事項 抜歯なし
リスク・副作用 治療の初期段階では痛みや不快感が生じやすくなりますが、1週間前後で慣れます

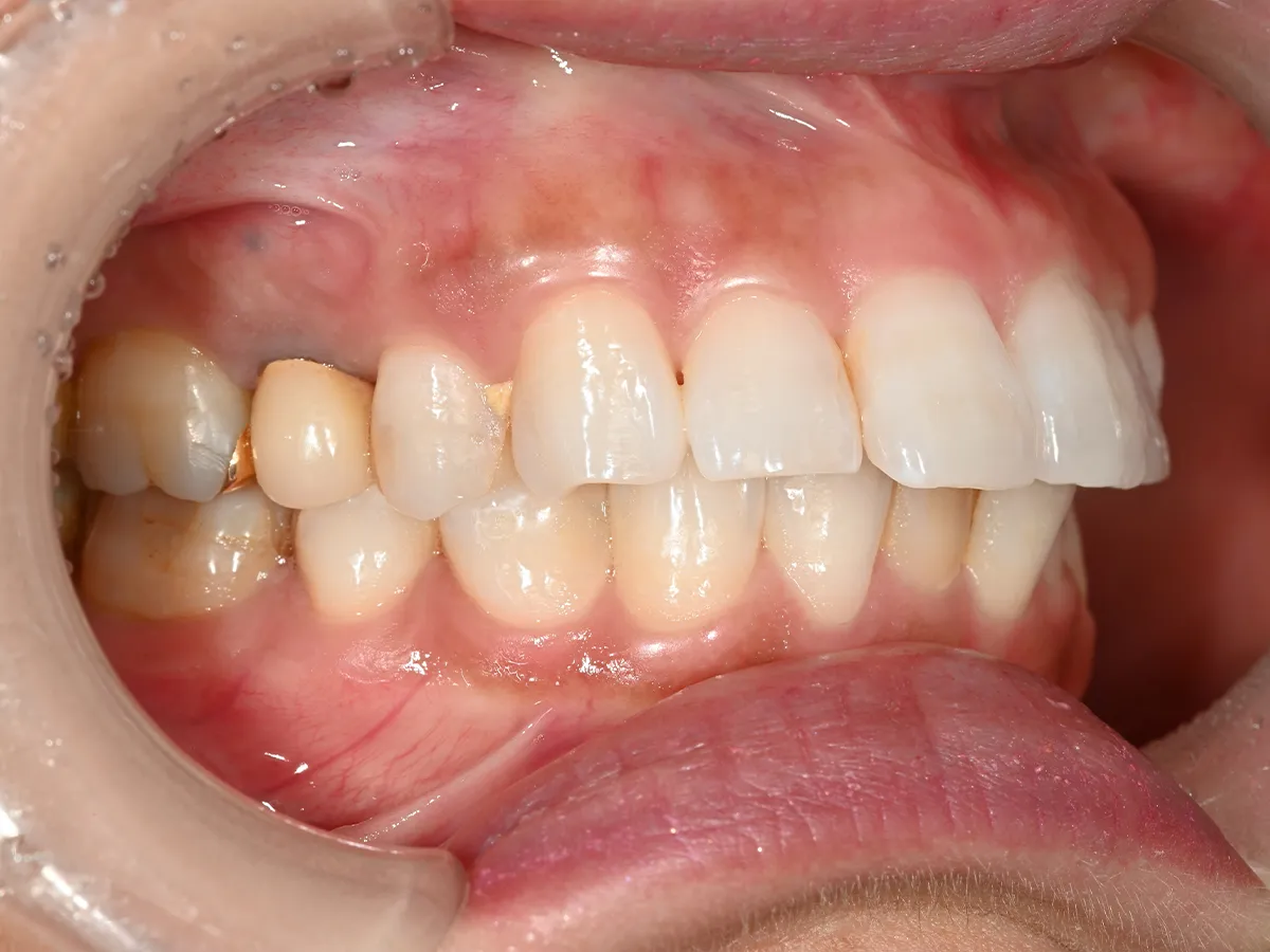
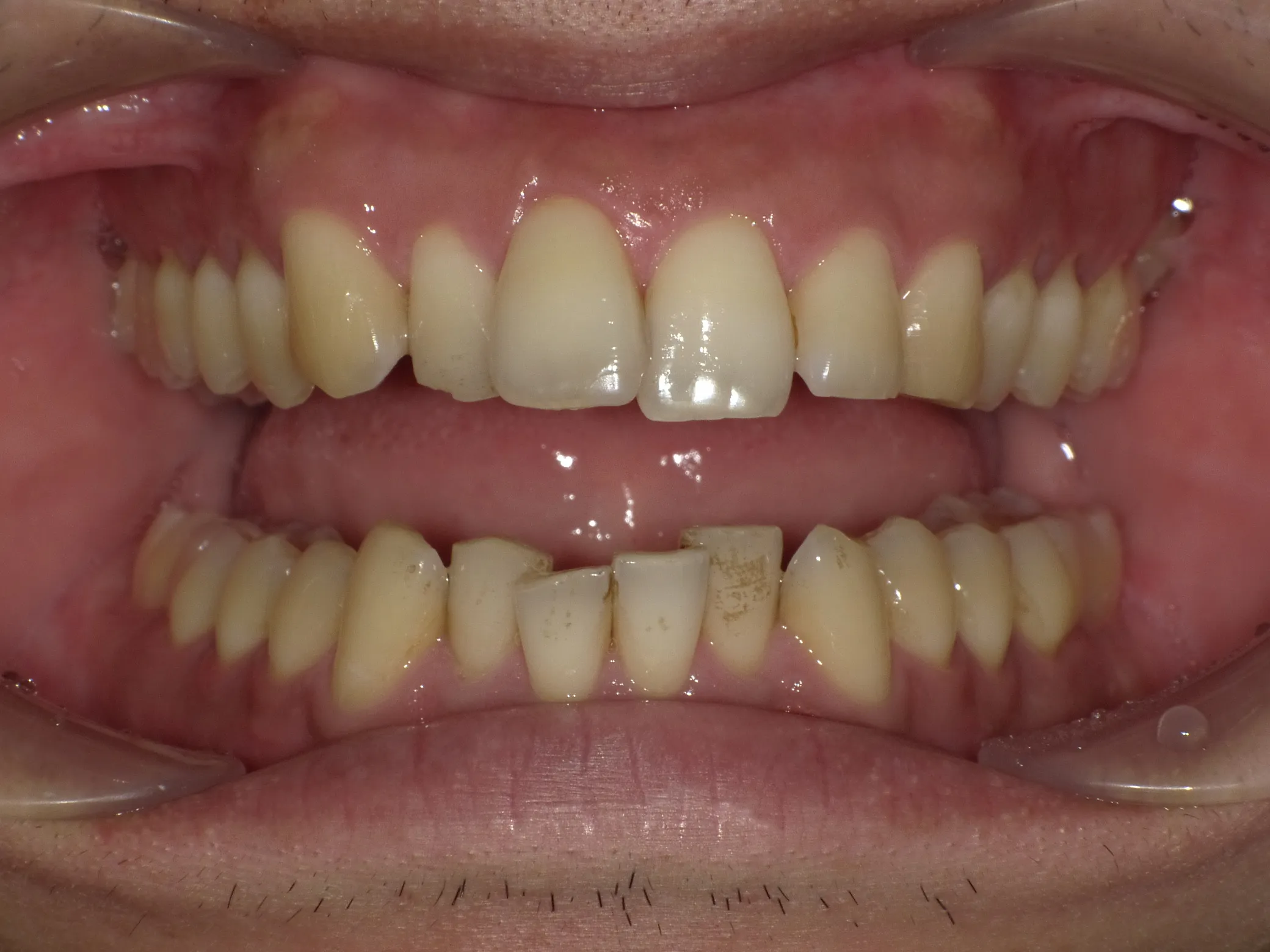
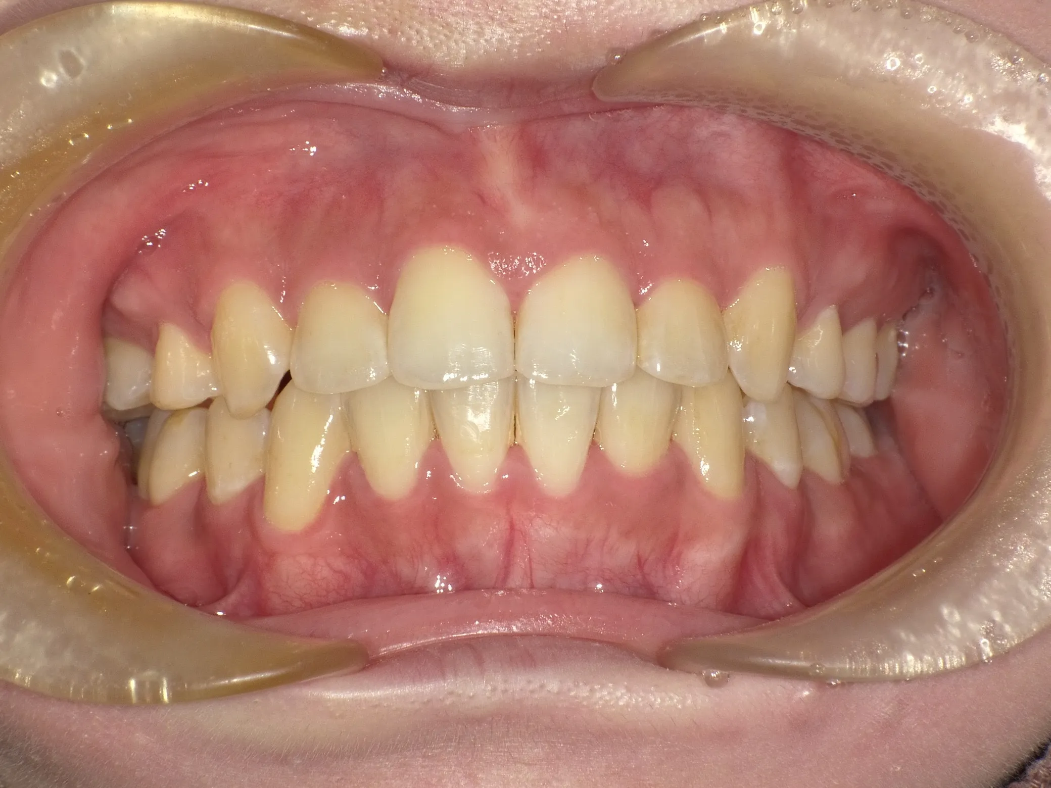
症例④

症例4_治療前 症例4_治療後
年齢・性別 24才男性
治療方法 ホワイトブラケット
治療期間 3年
治療総額 850,000円
特記事項 抜歯あり
リスク・副作用 治療の初期段階では痛みや不快感が生じやすくなりますが、1週間前後で慣れます

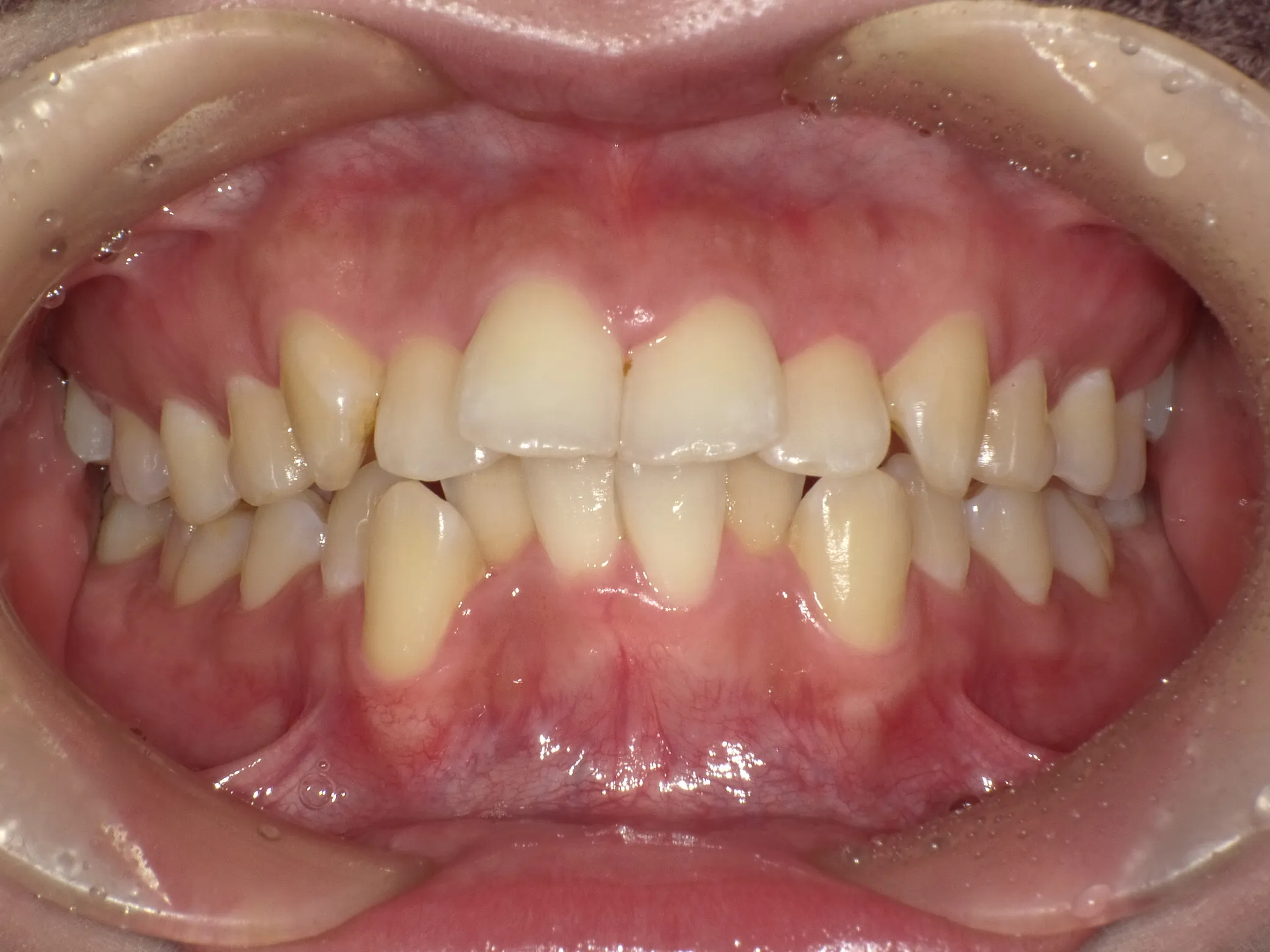
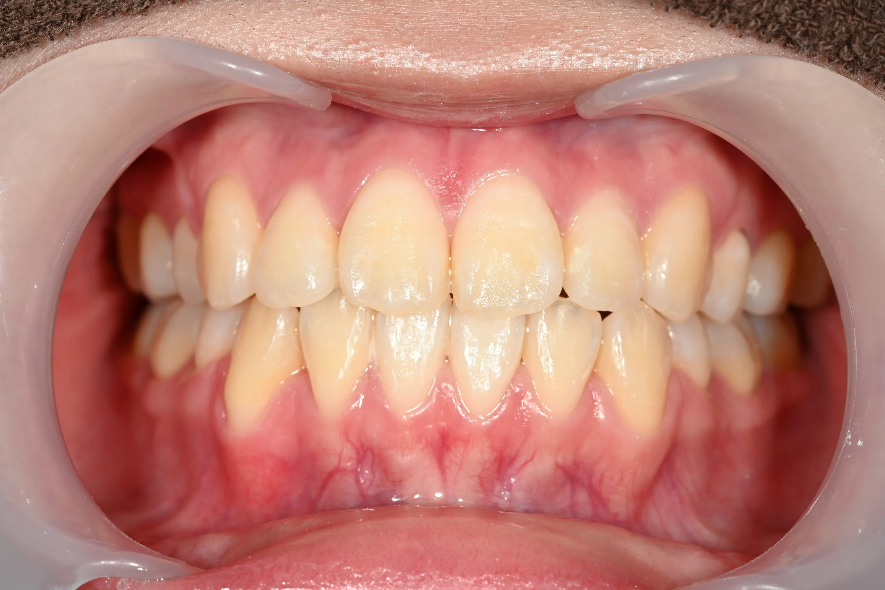
症例⑤

症例5_治療前 症例5_治療後
治療方法 マウスピース矯正
治療期間 2年
治療総額 850,000円
特記事項 抜歯なし

症例⑥

症例7_治療前 症例7_治療後
年齢・性別 26才・女性
治療方法 ブラケット矯正
治療期間 3年
治療総額 825,000円
特記事項 上顎4 4下顎55の4本抜歯

症例⑦

症例8_治療前 症例8_治療後
年齢・性別 18才・女性
治療方法 ブラケット矯正
治療期間 3年
治療総額 825,000円
特記事項 4本抜歯

TYPE 矯正治療の種類

歯並びは患者様一人ひとり違います。治療内容によって期間や費用が異なりますので、しっかりとヒヤリングと診断を行ったうえで患者様と二人三脚で治療を進めていきます。南森町 増田歯科・矯正歯科では身体に優しいヒートワイヤーや、ニッケルチタンのワイヤーなどを症状によって使い分け、歯の型採りも口腔内スキャンで行っており、治療における患者様の負担軽減に努めています。矯正治療は保険適応ではなく自費診療となり治療も高額です。当院ではクレジットカードやデンタルローンの利用もご利用可能で、患者様に負担の少ないお支払い方法を選択していただくことができます。

裏側(舌側)矯正

歯の裏側にブラケットという金属の装置とワイヤーをつける目立ちにくい矯正治療です。

メリット

  1. 装置が目立たない
  2. 多くの症例で適用可能
  3. 出っ歯、口ゴボのケースが得意

デメリット

  1. 違和感がある
  2. 慣れるまで話し辛い

費用

※横にスクロールできます。

治療費用 税込1,000,000
月々お支払い額 (デンタルローン利用、年利3.5%、120回払いの場合)9,888
別途調整料 1回4,000円〜9,000

ワイヤー矯正

歯の表面にブラケットという金属製の装置とワイヤーをつける一般的な矯正治療です。

メリット

  1. 金属製の装置は丈夫で、
    どのような症例にも適用可能
  2. 他の装置に比べて安価

デメリット

  1. 装置が目立つ
  2. 違和感がある

費用

※横にスクロールできます。

治療費用 税込660,000円〜800,000
月々お支払い額 (デンタルローン利用、年利3.5%、120回払いの場合)6,526円〜
別途調整料 1回3,000円〜9,000

見えにくい
ワイヤー矯正

白や透明色の目立たない色のブラケットとワイヤーを使った矯正治療です。
歯の表面に装置をつけますが、金属ブラケットよりも目立ちません。

メリット

  1. 通常のワイヤー矯正と同様に
    多くの症例に適用可能
  2. 装置が目立ちにくい

デメリット

  1. 金属製のブラケットを使った
    治療に比べ、
    費用はやや高額
  2. ブラケットの強度がやや弱い

費用

※横にスクロールできます。

治療費用 税込660,000円〜850,000
月々お支払い額 (デンタルローン利用、年利3.5%、120回払いの場合)6,526円〜
別途調整料 1回3,000円〜9,000

マウスピース矯正

ワイヤーやブラケットを使わず、透明で薄いマウスピース型の装置を用いて歯を動かします。装置は自分で取り外し可能です。南森町 増田歯科・矯正歯科ではマウスピース矯正の中でも幅広い症例に対応し、世界で多くの方の治療に使われているインビザラインを取り入れております。

メリット

  1. ワイヤーやブラケットを
    装着しないので、
    違和感がなく歯磨きや食事、
    発声もしやすい
  2. マウスピースは薄くて
    透明で
    取り外しができるため
    目立ちにくい
  3. 治療中でも周囲の人から
    ほとんど気づかれない

デメリット

  1. 指定された装着時間を
    守らないと、
    治療の結果に
    影響を及ぼすことがあり、
    治療期間が長くなることが
    ある
  2. ワイヤー矯正よりも
    治療できる症状が
    限定されている

費用

※横にスクロールできます。

治療費用 税込660,000円〜800,000
月々お支払い額 (デンタルローン利用、年利3.5%、120回払いの場合)6,526円〜
別途調整料 1回6,000円程度

部分矯正

前歯の傾きなど歯並びの一部分が気になる方におすすめの矯正治療です。
通常の矯正と比べ治療期間が短く、費用を抑えることができます。
患者様のご要望とお口の状況を考え、最適な装置をご提案し矯正していきます。

メリット

  1. 不具合のある部分だけに
    治療を行うので、
    治療期間が比較的短く済み、
    治療費を安く抑えることが
    できる
  2. 自分の歯を削ることなく
    治療をすることが可能

デメリット

  1. 全体的な咬み合わせに
    問題がある場合など、
    部分矯正だけでは
    対応出来ないことがある

費用

※横にスクロールできます。

治療費用 税込220,000円〜440,000
月々お支払い額 (デンタルローン利用、年利3.5%、60回払いの場合)4,002円〜
別途調整料 1回3,000円〜9,000

FLOW
矯正治療の流れ

  1. カウンセリング

    南森町 増田歯科・矯正歯科当院では矯正の無料相談を行っております。患者様の矯正治療に対する疑問や不安を伺い、解消していきます。治療は患者様と歯科医師の信頼関係が成り立たなければ上手くいきませんので、分からないことは何でもご相談ください。

  2. 精密検査

    現在のお口の中の状況を検査し、記録していきます。主な検査内容としては、CT、セファロ、レントゲンの撮影、歯の型取り、お顔とお口の中の写真撮影などがあります。

  3. 診断と治療計画の説明

    検査の結果に基づき、今後の治療方針を詳しくご説明します。

  4. 歯磨き指導とクリーニング

    矯正治療と切っても切り離せないほど大切なのは歯磨きです。ワイヤー矯正など歯の表面に装置が付いていると歯磨きが難しくなるため、虫歯や歯周病のリスクが高くなります。矯正期間中のセルフケアは大変重要ですので、正しいブラッシング方法をレクチャーします。また、装置をつける前に全体のクリーニングを行います。

  5. 矯正治療開始

    矯正装置をつける前準備や装置を作るための歯型をとります。
    装置装着後は定期的に通院し、装置の調整や歯磨き指導を行います。
    治療期間は2年~4年くらいが目安ですが、症状によって異なります。

  6. 保定

    歯並びが整い、矯正装置を外した後は、歯の後戻りを防ぐために保定装置を装着します。保定期間は個人差がありますが、治療と同じくらいの期間を要するケースが多いです。

SUPERVISING DENTIST 監修歯科医師

医療法人健誠会 増田歯科・矯正歯科
理事長・院長 増田智基

院長写真

院長略歴

1978年 大阪生まれ、大阪育ち B型
2003年 大阪歯科大学卒業
在学中はヨット部主将を経験
2003年 医療法人 徳真会にて勤務
分院長を5年間歴任
2010年 増田歯科医院 継承
2015年 増田歯科・矯正歯科 開院
2020年 医療法人健誠会 法人化 開院

所属学会など

国際口腔インプラント学会 認定医
日本成人矯正学会
日本顎咬合学会 咬み合わせ認定医
健康のための永久歯列矯正認定医
子どもの歯並び予防矯正認定医
日本一般臨床矯正研究会
SJCD
日本咬合育成学会
COKI(古希の会)
GPO
インビザラインプラチナプロバイダー

受講セミナー

日本一般臨床床矯正研究会
(4日間コース、フィニッシングコース、
アドバンスコース、3Dコース)
GPO矯正レギュラーコース、アドバンスコース
顎顔面矯正セミナー
咬合育成コース(小児)
CDTC
筒井塾咬合療法コース
OSIインプラントアドバンスコース
修練会診断ベーシックコース
名古屋歯周補綴コース
など
診療時間
10:00〜13:30 - -
15:00〜19:00 - -

※土曜は9:00~12:00 / 13:30~16:30
休診日:火曜・日曜・祝日